Врачи неонатологи, ортопед и невролог ОДКБ Владимира диагностировали у новорожденного редкую болезнь. Синдром Клиппеля-Фейля встречается у одного ребенка из 120 тысяч, сообщили в пресс-службе больницы в среду, 29 мая.
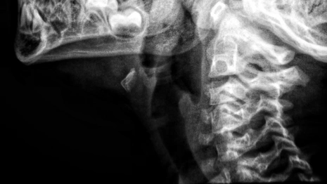
Врожденный порок развития шейного отдела заключается в сращивании и уменьшении количества позвонков. Генетическая аномалия возникает у эмбриона из-за неправильного внутриутробного развития шейных и верхнегрудных позвонков.
Основной симптом – короткая и малоподвижная шея, иногда настолько, что мочки ушей достают плеч, подбородок – грудины. Также могут наблюдаться затруднения с дыханием, незначительное отклонение головы назад.
Для диагностики проводят рентгенографию, КТ и МРТ позвоночника, генетический анализ, расширенное обследование внутренних органов: сердца, почек, легких, головного мозга.
Ранее стало известно, что владимирские врачи спасли 4-летнего малыша, который проглотил девять магнитных шариков из конструктора. Ребенок поступил в хирургию с жалобами на боли в животе и рвоту.















