Владимирские врачи прооперировали 17-летнюю девушку с парциальным гигантизмом стопы. Это – редкая врожденная аномалия развития, проявляющаяся аномальным ростом отдельных частей тела, сообщил центр спецмедпомощи во вторник, 9 декабря.

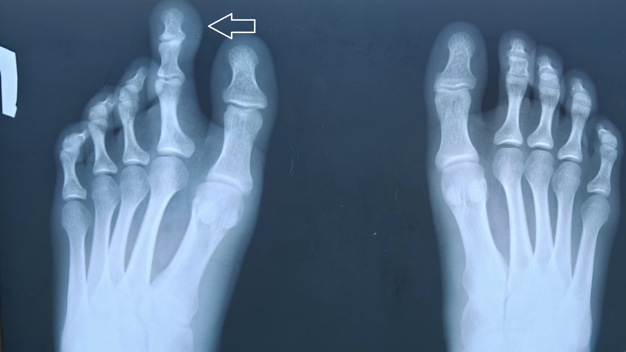
Пациентка обратились со значительным увеличением второго пальца левой стопы. Основной жалобой был косметический дефект, а также трудности с подбором обуви.
Медики выполнили операцию – укорачивающую остеотомию с фиксаций костных фрагментов спицей и удаление избыточных мягких тканей. В итоге был сформирован косметически и функционально полноценный палец.
Ранее владимирские врачи спасли годовалого малыша, который проглотил магнитные шарики. Игрушка застряла у ребенка в гортани, из-за чего он начал задыхаться.















